沃爱网
口腔优惠 整形设计 咨询变美

您的位置:沃爱网 >优惠折扣 >正文

乌鲁木齐天牙口腔美国3M-Z250树脂补牙原价245元现138元起,耐磨修复超划算!

发布时间:2025-10-14 15:48:46 阅读:

牙齿健康关乎着我们生活的方方面面,拥有一口好牙,才能尽情享受美食,绽放自信笑容。然而,龋齿、牙洞等问题却常常困扰着我们。在众多补牙材料中,美国3M-Z250树脂凭借其出色的性能备受青睐。而乌鲁木齐天牙口腔推出的美国3M-Z250树脂补牙优惠活动,更是为广大患者带来了福音。原价245元的补牙项目,现在只需138元起,如此划算的活动,你还在等什么呢?

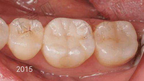
乌鲁木齐天牙口腔美国3M-Z250树脂补牙价格优惠来袭

乌鲁木齐天牙口腔美国3M-Z250树脂补牙价格优惠来袭

此次乌鲁木齐天牙口腔的美国3M-Z250树脂补牙优惠力度空前。原价245元一颗,现在仅需138元起。不过需要注意的是,这个价格因个人牙齿情况、治疗方案的不同可能会有所差异,仅供大家参考。如果你有补牙需求,不妨抓住这次难得的机会,到乌鲁木齐天牙口腔体验高品质的补牙服务。

乌鲁木齐天牙口腔美国3M-Z250树脂补牙的出色技术

乌鲁木齐天牙口腔美国3M-Z250树脂补牙的出色技术

材料优势显著
美国3M-Z250树脂具有天然牙的色泽,能够理想匹配患者的牙齿颜色,修复后的牙齿几乎与真牙无异,美观度极高。而且它的机械性能良好,有较高的耐磨性和较好的抛光性,可以长时间保持牙齿的形态和功能,不易出现磨损、变色等问题。

医生经验多
乌鲁木齐天牙口腔拥有一支专精的医生团队,他们具备丰富的临床经验和不错的技术。在进行美国3M-Z250树脂补牙时,医生会根据患者的牙齿情况进行精细诊断和个性化治疗。从牙齿的清洁、龋洞的处理到树脂的填充,每一个环节都严格把控,确保补牙的成效和质量。

精良设备支持
医院引进了国内外精良的进口设备,为美国3M-Z250树脂补牙提供了有力的技术支持。这些设备能够更正确地检测牙齿问题,提高治疗的精度和效率,让患者在舒适的环境中完成补牙治疗。

乌鲁木齐天牙口腔美国3M-Z250树脂补牙的重要作用

乌鲁木齐天牙口腔美国3M-Z250树脂补牙的重要作用

修复牙齿功能
当牙齿出现龋洞或损伤时,会影响正常的咀嚼功能。通过美国3M-Z250树脂补牙,可以填充龋洞,修复牙齿的外形和咀嚼功能,让患者能够正常进食,享受美食。

防止牙齿进一步损伤
龋洞如果不及时治疗,会逐渐扩大,导致牙髓感染、牙齿疼痛等问题。美国3M-Z250树脂补牙可以有效封闭龋洞,防止细菌进一步侵入,保护牙齿的健康,避免牙齿受到更重度的损伤。

提升口腔美观度
如前文所述,美国3M-Z250树脂的颜色与真牙相似,补牙后不会影响牙齿的美观。对于注重外在形象的患者来说,这是一种非常理想的补牙材料。

乌鲁木齐天牙口腔其他口腔项目收费标准参考

乌鲁木齐天牙口腔其他口腔项目收费标准参考

除了美国3M-Z250树脂补牙,乌鲁木齐天牙口腔还提供多种口腔诊疗服务,以下是部分项目的收费标准,仅供参考:

洗牙项目
超声波洗牙:39.9元起;喷砂多效洁牙:288元起。

拔牙项目
儿牙乳牙滞留拔除:49元起;中老年松动牙拔除:59元起;拔智齿:299元起。

牙齿修复项目
美国进口树脂3MZ350补牙(成人):219元起;美国3M树脂补牙(儿童):150元起;镶牙冠:1580元起。

牙齿矫正项目
传统金属托槽矫正:8900元起;儿童早期干预矫正:5800元起。

种植牙项目
国产种植牙:2500元起/颗;德国进口种植牙(如Lance):8800元起/颗。

 

乌鲁木齐天牙口腔此次推出的美国3M-Z250树脂补牙优惠活动,价格划算,技术可靠。无论是从材料的优势、医生的技术,还是从补牙的作用来看,都是一个不错的选择。如果你正为牙齿问题烦恼,不妨到乌鲁木齐天牙口腔体验一下美国3M-Z250树脂补牙的魅力,让你的牙齿重焕健康光彩。

口腔

评价(已有0人点评)

热门评论

医生推荐

    医院推荐

  • 梧州蓝天口腔医院

    梧州蓝天口腔医院

    梧州蓝天口腔医院是正规专业口腔机构,科室全,有正畸、种植等多科室。硬件与技术水平高,医生专业。口碑好、收费合理,地址交通便利,可电话或线上预约,营业时间长,是当地患者理想之选。[查看全文]

    2025-06-16 17:25:37

  • 枣庄市澳美口腔文化路诊所

    枣庄市澳美口腔文化路诊所

    一、枣庄市澳美口腔文化路诊所简介:枣庄市澳美口腔文化路诊所是一家成立于2019年的民营口腔医疗机构,经过当地监管部门批准,提供种植牙、牙齿矫正、牙齿美白等多项服务,拥有500平方米的诊疗空间,已成为市民信赖的口腔健康中心。诊所引进了先进的口腔设备,汇聚了经验很丰富的医生团队,并与多家有名口腔机构建立了...[查看全文]

    2025-08-29 11:32:02

  • 北京博恩口腔诊所

    北京博恩口腔诊所

    一、北京博恩口腔诊所简介:北京博恩口腔诊所是一家成立于2019年的私立医疗机构,位于北京市朝阳区,拥有300平方米的诊所面积,经过昌平区市场监管管理局的批准。该诊所专注于提供齐全的口腔医疗服务,包括牙齿矫正、牙痛治疗、牙齿修复、牙齿种植等,拥有先进的医疗设备和经验很丰富的医疗团队,致力于为患者提供高质...[查看全文]

    2025-10-10 12:32:05