沃爱网
口腔优惠 整形设计 咨询变美

您的位置:沃爱网 >医院项目 >正文

西安团圆口腔儿童MRC早期功能性矫正价格3500元起,刘东秀续东升医生护航孩子牙齿健康

西安团圆口腔儿童MRC早期功能性矫正价格3500元起,刘东秀续东升医生护航孩子牙齿健康

优惠价¥3500 原价6500

项目医生:

优惠医院:西安新城团圆口腔医院

发布时间:2025-10-09 09:34:50 阅读:

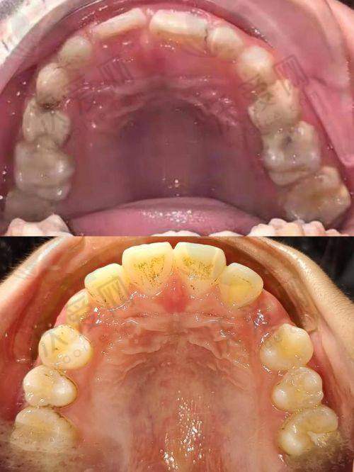
在孩子的成长过程中,牙齿健康是家长们十分关注的问题。西安团圆口腔推出的儿童MRC早期功能性矫正项目,以其合理的价格和良好的成效,受到了众多家长的青睐。今天,我们就来详细了解一下这个项目。

西安团圆口腔儿童MRC早期功能性矫正价格是多少?

西安团圆口腔儿童MRC早期功能性矫正价格是多少?

西安团圆口腔儿童MRC早期功能性矫正价格为3500元起。不过需要注意的是,由于每个孩子的口腔状况不同,具体的矫正方案和费用也会有所差异,这个价格仅供参考哦。

什么是儿童MRC早期功能性矫正?

什么是儿童MRC早期功能性矫正?

儿童MRC早期功能性矫正主要针对3-6岁的儿童。这个阶段孩子的乳牙开始萌出,一些不良的口腔习惯可能会影响牙齿和颌骨的正常发育,比如口呼吸、吮指、吐舌等。MRC矫正器就是专门设计用来帮助孩子纠正这些不良习惯,同时治疗上下颌发育问题的。

它可以矫正舌头位置和吞咽模式,让孩子养成正确的口腔肌肉功能习惯,从而改善自然的牙弓发育,对开颌、反颌等问题也能起到早期治疗的作用。

西安团圆口腔儿童MRC早期功能性矫正技术有哪些优势?

西安团圆口腔儿童MRC早期功能性矫正技术有哪些优势?

精细的数据获取
西安团圆口腔引进了数字化口腔扫描仪、3D打印技术等齐全的口腔医疗设备和技术。数字化口腔扫描仪能够快速、详细地获取孩子的口腔数据,医生可以根据这些严谨的数据,为孩子制定更贴合其口腔状况的个性化矫正方案。

个性化定制方案
医院拥有一支经验充足的牙齿矫正团队,他们具备扎实的理论基础和丰富的实践经验。面对不同孩子的口腔状况,医生们能够制定出更适合每个孩子的矫正方案,确保矫正成效达到至佳。

早期干预成效好
儿童MRC早期功能性矫正强调早期干预,在孩子牙齿和颌骨还处于生长发育阶段时进行矫正,能够利用孩子自身的生长潜力,引导牙齿和颌骨朝着正常的方向发育。相比于后期的矫正,早期矫正不仅成效更好,而且可能会减少后期矫正的难度和时间。

佩戴舒适
MRC矫正器通常采用硅胶材质,质地柔软,佩戴起来比较舒适,孩子更容易接受。而且它不会像传统的金属矫正器那样对口腔黏膜造成刺激,减少了孩子在矫正过程中的不适感。

西安团圆口腔医院怎么样?

西安团圆口腔医院是陕西省西安市有名的口腔医疗机构,拥有多名从业多年口腔医生,医疗技术和服务水平位居行业前列。医院以严格的管理和高质量的医疗服务赢得了众多牙友的信任和好评。

在服务方面,医院注重细节,从孩子进入医院开始,医护人员就会给予贴心的关怀和指导。无论是挂号、检查还是治疗过程,都会让家长和孩子感受到舒适和安心。

医院还提供了多种口腔服务,除了儿童MRC早期功能性矫正外,还有拔牙、矫正、种植牙、补牙、美白牙、烤瓷牙、根管治疗和儿童齿科等项目,能够满足不同患者的口腔需求。

西安团圆口腔有哪些擅长儿童MRC早期功能性矫正的医生?

西安团圆口腔有哪些擅长儿童MRC早期功能性矫正的医生?

西安团圆口腔医院做牙齿矫正技术好,可约刘东秀、续东升医生。他们在牙齿矫正领域有着丰富的经验和专精的技术,对于儿童MRC早期功能性矫正也有着深入的研究和实践,能够为孩子们提供优质的矫正服务。

总之,西安团圆口腔的儿童MRC早期功能性矫正项目,以其合理的价格、精良的技术、专精的医生团队和优质的服务,为孩子们的牙齿健康提供了有力的保护。如果您家孩子有口腔方面的问题,不妨带孩子到西安团圆口腔询问一下。

口腔

评价(已有0人点评)

热门评论

精彩推荐

医生推荐

    医院推荐

  • 兰州海涛口腔医院

    兰州海涛口腔医院

    兰州海涛口腔医院是经审批的正规连锁机构。科室全,涵盖种植、正畸等多中心;设备精良,技术优,有特色技术与联院会诊优势。医生经验丰富,收费合理,口碑好,在兰州有8家分院,营业时间为周一至周日09:00-18:00。[查看全文]

    2025-07-30 17:07:36

  • 杭州铭齿口腔门诊部

    杭州铭齿口腔门诊部

    一、杭州铭齿口腔门诊部简介:杭州铭齿口腔门诊部是一家成立于2016年的私立口腔医疗机构,位于杭州市,占地600平方米,经过当地监管部门批准,提供包括牙齿矫正、牙痛治疗、牙齿修复等多项服务。该门诊部秉持“专業、精细、诚信、创新”的理念,拥有经验很丰富的专業团队,配备先进的医疗设备,致力于为患者提供个...[查看全文]

    2025-08-27 11:39:03

  • 宁波慈溪圣甬口腔门诊部

    宁波慈溪圣甬口腔门诊部

    宁波慈溪圣甬口腔门诊部是经卫健委批准的正规牙科。科室全,开展种植、矫正等多样项目。有精良设备与数字化技术,医生经验丰富。收费合理,服务优、环境好,口碑佳,在慈溪有两家分店,值得信赖。[查看全文]

    2025-08-29 15:05:26

最新优惠

更多>